您的位置: > 权威专家 >
丁佳音 德伦口腔种植医生
发表于:2015-11-16 来源:德伦口腔 编辑:liaolanlan 点击:次
您的位置: > 权威专家 >

丁佳音医生
1999年毕业于皖南医学院口腔专业,从事临床工作16年,曾先后于上海九院、港、澳、台等地进修、学习,洞悉当今种植的技术及设备
台湾种植牙协会会员、IMD世界微创联盟会员、中华口腔医学会会员
擅长:各类型牙种植技术、舒适种植、微创种植、数字化导板种植技术、ALL-ON-4种植等
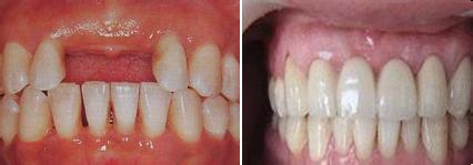
丁佳音医生经典案例:
牙齿问题在线咨询
020-8378 2905
网上自助挂号
患者
须知
贯彻国家卫生部新医改政策,严格落实解决挂号难、看病难问题,开展网络自助预约挂号服务。

口腔连锁品牌