发表于:2020-03-17 来源:德伦口腔 编辑:刘编 点击:次
门牙是我们的牙齿第一道防线,张开嘴巴说话的时候,大家的视线都会自然落到门牙上,如果门牙没有了,很容易让人忍俊不禁,所以门牙掉了补牙要及时,而门牙选择的修复方式也是大家一直在研究的问题。要选一种修复以后看上去逼真,不用担心被人看出来,为此小编给大家推荐种植牙,是门牙修复的选择。


咀嚼给力:由于种植牙原理科学,通常修复后的牙齿咀嚼压力可以通过人工牙根,直接传递至患者的牙槽组织,因而咀嚼效率较假牙和烤瓷牙都有大幅度提高,尤其适合很多牙齿缺失。
美观逼真:种植牙可以说是能媲美天然牙齿的,除了咀嚼能力,还因为它的外观,就算是在一堆天然牙中间把他放在里面,都没有人可以把他分辨出来,非常逼真美观。
寿命更久:相比烤瓷牙和假牙只有几年的使用寿命,种植体由于深植于患者的牙槽组织,因此种植牙修复后的牙齿,可以像真牙一样扎根在患者的口腔里,比传统假牙更加稳固牢靠,使用寿命长。
种植牙手术前
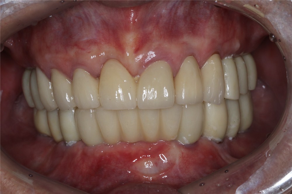
种植牙手术后
德伦口腔!院内的种植科由广东省口腔医学会种植专委会常委、南方医科大学教授、原广东省口腔种植中心主任、30年临床经验的 徐世同院长领衔,和16名临床经验超过10年的中欧专家组成,就诊时德伦医生会首先对患者口腔进行严格检查是否存在牙周炎或者其他口腔问题,如果存在这些问题会优先治疗,为日后的种植牙打下良好的基础。

徐世同院长研究手术方案
徐世同院长正在做种牙手术

徐世同院长优秀成功案例
德伦口腔数字化舒适种植技术是通过齿科设备CBCT进行扫描获取患者的口腔信息,再经过CAD\CAM设计种植方案,并会通过中欧专家团手术方案联合会诊,为患者提供更好优质的种植方案,在电脑向患者演示种植过程和种植后效果,当方案制定后会打造种植导板,医生在种植导板辅助下便能有效的控制种植位置、深度和角度,准确的把控整个种植过程,避开神经血管让种植更舒适,创伤口更小、术后恢复更快、手术时间更短,让患者安全放心种植。
